Restore Function, Health & Confidence
At Dentique, your trusted dental clinic in Wakad, we specialize in advanced full mouth rehabilitation — a transformative dental solution that restores complete oral health, bite function, and aesthetic harmony. Whether you have worn, missing, or severely damaged teeth, our team combines precision, artistry, and technology to rebuild your smile and confidence.

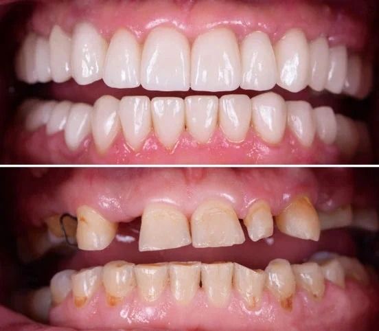
What Is Full Mouth Rehabilitation?
Full mouth rehabilitation (also called full mouth reconstruction) is a comprehensive dental treatment plan designed to rebuild or replace all teeth in both jaws. It’s not just cosmetic dentistry — it’s a functional and restorative process that focuses on the health of your teeth, gums, bite, and overall oral structure.
At Dentique, our approach goes beyond surface-level aesthetics. We focus on restoring strength, alignment, and balance so your smile feels as good as it looks.
When You May Need Full Mouth Rehabilitation
Our dental clinic in Wakad recommends full mouth rehabilitation for individuals who experience:
- Multiple missing or broken teeth
- Severe tooth wear caused by grinding or acid erosion
- Old crowns or fillings that have deteriorated over time
- Chronic jaw pain or bite imbalance
- Gum disease affecting overall oral stability
- Difficulty in chewing or speaking
If you’ve been told you need multiple dental procedures, or if you feel your teeth no longer function comfortably, full mouth rehabilitation at Dentique could be the ideal solution.
The Step-by-Step Process at Dentique
Our full mouth rehabilitation process is methodical and tailored to your needs. Every stage is handled with precision to ensure long-term comfort and function.
Comprehensive Assessment
We begin with a detailed consultation, digital X-rays, and 3D scans to understand your oral condition. We evaluate your bite, bone health, and jaw alignment to design a complete treatment strategy.
Customized Treatment Planning
Our multidisciplinary team — including implantologists, prosthodontists, and cosmetic dentists — collaborates to develop a plan unique to you. This may include a combination of restorative, prosthetic, and aesthetic procedures.
Restorative Phase
Depending on your needs, your full mouth rehabilitation may include:
- Dental implants for missing teeth replacement
- Crowns and bridges to strengthen and protect damaged teeth
- Veneers for enhancing aesthetics and correcting imperfections
- Root canal therapy to treat infected or sensitive teeth
- Gum therapy to ensure healthy foundations for restorations
- Orthodontic alignment to correct bite issues
- Smile Design & Function Restoration
Using digital smile design software, we plan every detail of your new smile. Our experts balance aesthetics and functionality, ensuring your teeth look natural and perform flawlessly.
Final Fittings & Adjustments
Once your restorations are placed, we fine-tune your bite and polish your new teeth for a natural appearance. Every full mouth rehabilitation at Dentique concludes with a follow-up schedule to ensure comfort and long-term success.
Benefits of Full Mouth Rehabilitation
Choosing full mouth rehabilitation at Dentique offers life-changing results:
Restored Functionality
You can chew, speak, and smile confidently again — without pain or difficulty.
Enhanced Aesthetics
Every tooth is shaped, shaded, and positioned to complement your face. The result is a radiant, youthful smile that looks completely natural.
Durability & Strength
High-quality materials like zirconia, ceramic, and titanium ensure your restorations are strong and long-lasting.
Improved Oral Health
By addressing underlying issues such as decay, gum disease, and misalignment, full mouth rehabilitation gives you a healthy foundation for life.
Renewed Confidence
When your smile feels and functions perfectly, your confidence and quality of life naturally improve.
Why Choose Dentique for Full Mouth Rehabilitation?
Expert Multispecialty Team
At Dentique, your care is led by a team of skilled professionals — implantologists, prosthodontists, and cosmetic dentists — ensuring comprehensive expertise in every phase of full mouth rehabilitation.
Advanced Dental Technology
Our dental clinic in Wakad is equipped with cutting-edge tools like digital impressions, 3D imaging, and computer-guided implant systems for precision and comfort.
Personalized Treatment Plans
Every smile we create is unique. Our team takes the time to understand your goals, lifestyle, and preferences before designing your individualized treatment plan.
Comfort and Care
From anesthesia to post-procedure recovery, our focus is on a smooth, pain-free experience. Many patients who once feared dental treatments find their comfort restored at Dentique.
Transparent Pricing & Long-Term Value
We provide clear cost estimates and flexible payment options to make full mouth rehabilitation accessible. It’s not just an investment in your smile — it’s an investment in your health and conf
The Dentique Approach
Our philosophy at Dentique is simple — we blend technology with artistry to deliver smiles that are healthy, functional, and beautiful. We use durable materials, digital precision, and minimally invasive methods to ensure predictable results with maximum comfort.
Every full mouth rehabilitation case is handled meticulously, from diagnosis to final restoration, so you enjoy lasting benefits and peace of mind.
Life After Full Mouth Rehabilitation
Once your treatment is complete, maintaining your new smile is simple. We’ll guide you with personalized oral hygiene instructions, diet advice, and regular follow-ups at Dentique, your trusted dental clinic in Wakad. With consistent care, your results can last for decades — allowing you to enjoy the comfort and confidence of a fully restored smile.
Reclaim Your Smile with Dentique
If missing, damaged, or worn teeth have affected your confidence or comfort, full mouth rehabilitation at Dentique is your path to a complete smile transformation.
Our compassionate team and state-of-the-art technology ensure you receive the finest care right here in Wakad.
Visit Dentique, the most trusted dental clinic in Wakad, and let us restore your smile, your bite, and your confidence — all in one comprehensive treatment plan.
Book your consultation today and take the first step toward a stronger, healthier, and more radiant smile with full mouth rehabilitation at Dentique.
0+
0+
0+
0+
FAQs – Full Mouth Rehabilitation
1. What is full mouth rehabilitation?
Full mouth rehabilitation is a comprehensive dental treatment plan that restores all teeth in both jaws, improving function, aesthetics, and overall oral health through a combination of restorative, prosthetic, and cosmetic procedures.
2. Who needs full mouth rehabilitation?
It’s recommended for patients with multiple missing or damaged teeth, severe tooth wear, bite issues, chronic jaw pain, or gum disease affecting oral stability.
3. What treatments are included in full mouth rehabilitation?
Treatments may include dental implants, crowns, bridges, veneers, root canals, gum therapy, and orthodontic alignment — tailored to each patient’s needs.
4. How long does the process take?
Treatment duration depends on the complexity of your case, typically ranging from several weeks to a few months, with multiple appointments for restorative and aesthetic procedures.
5. What are the benefits of full mouth rehabilitation?
Benefits include restored chewing and speech function, enhanced smile aesthetics, improved oral health, durability and strength of restorations, and renewed confidence.